Metamorfozy uśmiechów młodzieży

Julia, 17 lat, zamieniła tradycyjny aparat z drutów i zamków na Invisalign®

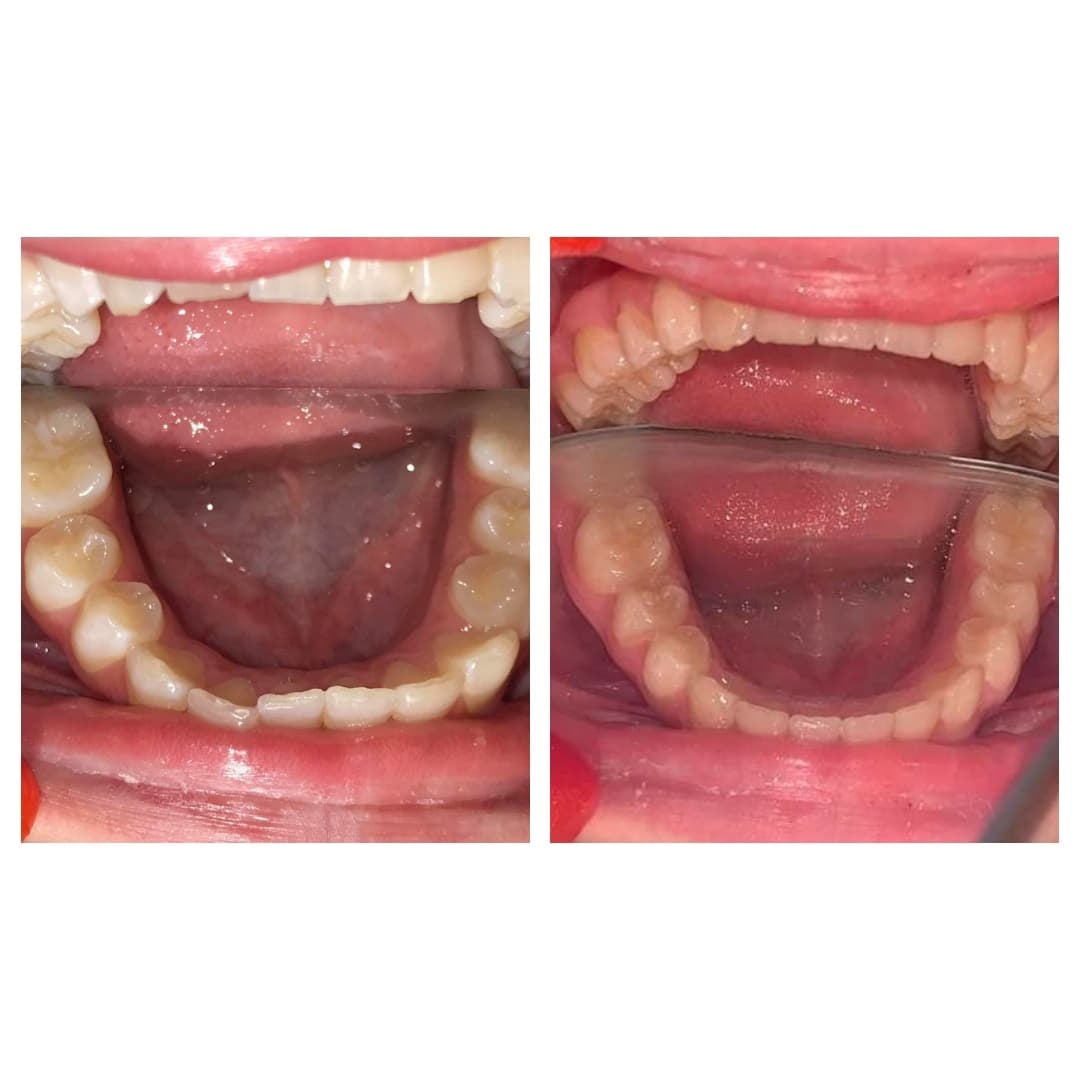
Pacjentka zgłosiła się do Kliniki Proste Zęby w maju 2019 roku, zadrutowana i załamana. Przyjechała do Warszawy z innego miasta, gdzie w gabinecie ortodontycznym otrzymała plan leczenia na 2,5 roku i założono jej klasyczny aparat z metalowymi zamkami i łukiem podniebiennym. Młoda, piękna dziewczyna jak usłyszała, że te druty i zamki ma nosić 2,5 roku to psychicznie była wyczerpana. Przed Julką matura, egzaminy, studniówka, szkoła wyższa. Julka nie była w stanie o niczym innym myśleć tylko o tym jak strasznie będzie na tych wszystkich wydarzeniach wyglądać! Rodzice szukali pomocy. Mama Julii znalazła Klinikę Proste Zęby w Internecie i przyjechali na wizytę START-UP dowiedzieć się czy jest możliwe zdjęcie tego aparatu i założenie Invisalign®. Po przeprowadzeniu diagnostyki, wykonaniu skanu komputerowego rodzice zdecydowali się w naszej klinice podjąć leczenia Julki. Zdjęliśmy druty i zamki, zdjęliśmy łuk podniebienny. Julka była przeszczęśliwa. Za około miesiąc w czerwcu otrzymała swoje nakładki Invisalign® i plan leczenia na 6 miesięcy! W grudniu 2019 roku, po przeprowadzonym leczeniu ortodontycznym, dokonano odbudowy protetycznej niewykształconych dwójek i Julka jest gotowa z nowym uśmiechem wejść w Nowy Rok pełen wyzwań maturalnych.

Aleksander, 15 lat

Aleksander mieszka w Houston w Teksasie. Jak to możliwe, że zdecydował się na leczenie ortodontyczne w Klinice Proste Zęby? Ma oczywiście rodzinę w Polsce.
Dla Pacjentów spoza Polski wizyty kontrolne są świetną okazją, by spotkać się z rodziną i znajomymi. A, że nie są zbyt częste, nie kolidują z codziennym życiem. Jak widać, leczenie Invisalign® nawet na duże odległości jest skuteczne!

Liliana, 21 lat

Pacjentka na co dzień mieszka i studiuje w Londynie.

Weronika, 14 lat

Weronika nosiła 31 nakładek Invisalign® w pierwszej serii, a następnie 18 nakładek w drugiej serii. Zmieniała nakładki co 7 dni. Leczenie trwało niecały rok.
Nasza pacjentka zapoznała się ze wszystkimi wadami i zaletami Invisalign®, rozważyła również inne metody leczenia ortodontycznego, m.in. klasyczne druty i zamki.
Rodzice Weroniki oszacowali, że koszty leczenia klasyczną metodą podczas 2-letniego noszenia aparatu na zęby będą porównywalne do kosztów leczenia metodą Invisalign®. Teraz pacjentką kliniki jest Mama Weroniki, która widząc znakomite efekty u Córki postanowiła poprawić swój uśmiech i zgryz.
<
>
<
>
<
>